
Uterul bicorn este o malformatie congenitala a uterului, care apare in timpul dezvoltarii fetale. Aceasta anomalie anatomica este caracterizata printr-o forma anormala a uterului, care are doua „coarne” (sau cavitati uterine partial separate) in loc de o singura cavitate uterina centrala, de unde si denumirea de uter bicorn. Uterul bicorn apare din cauza unui esec partial in fuziunea celor doua canale paramezonefrice (mulleriene) in timpul dezvoltarii embrionare.
Malformatiile uterine, inclusiv uterul bicorn, au fost recunoscute de secole, dar intelegerea si clasificarea lor au evoluat semnificativ de-a lungul timpului. Descrierile anatomice ale malformatiilor uterine dateaza inca din Antichitate, insa abia in secolele XVII si XVIII, odata cu dezvoltarea anatomiei ca stiinta, aceste anomalii, inclusive uterul bicorn, au inceput sa fie studiate in mod sistematic.
Istoria descoperirii si clasificarii ca uter bicorn
In Antichitate, medicii greci si romani, precum Hipocrate si Galen, au facut referiri generale la malformatiile organelor interne, dar fara o intelegere detaliata. In Evul Mediu, cunoasterea medicala a stagnat, iar malformatiile uterine, deci si uterul bicorn, nu au fost studiate in detaliu.
Apoi, in secolele XVII si XVIII anatomia a inceput sa fie explorata mai detaliat, prin disectii si observatii clinice. Medici ca William Hunter (1718-1783) au contribuit la dezvoltarea anatomiei obstetricale si la intelegerea malformatiilor uterine. Giovanni Battista Morgagni (1682-1771), un pionier al anatomiei patologice, a descris in scrierile sale diverse anomalii uterine, incluzand probabil si malformatii care ar putea fi considerate astazi drept uter bicorn.
In secolul XX, odata cu progresul tehnologiei medicale si a tehnicilor de imagistica, cum ar fi ecografia si RMN-ul, diagnosticarea si intelegerea malformatiilor uterine au devenit mult mai avansate.
Clasificarile moderne, precum cea propusa de Societatea Americana de Medicina Reproductiva (ASRM), au ajutat la standardizarea diagnosticarii si tratamentului malformatiilor uterine.
Uter bicorn, cat este de frecvent si cum se trateaza?
Uterul bicorn este considerat o anomalie uterina congenitala relativ rara. Se estimeaza ca malformatiile uterine afecteaza aproximativ 3-5% dintre femeile din populatia generala. Dintre acestea, uterul bicorn reprezinta aproximativ 0,1-0,5% din cazuri. Aceste cifre variaza in functie de studii si de metodele de diagnostic utilizate.
Inventia majora pentru tratarea pacientelor care au uterul bicorn a fost chirurgia metroplastica. Este vorba despre o inventie majora, in special procedura cunoscuta sub numele de Strassman metroplasty. Dezvoltata initial in anii 1950, aceasta procedura chirurgicala a fost perfectionata si utilizata pentru a corecta forma uterului si a unifica cavitatile uterine. Scopul acestei proceduri este de a reduce riscul de avorturi spontane si de nasteri premature, oferind astfel femeilor afectate de uterul bicorn o sansa mai mare de a duce o sarcina la termen.
Procedura a demonstrat o eficienta ridicata in imbunatatirea rezultatelor reproductive. Multe femei care au suferit aceasta interventie au reusit sa obtina sarcini viabile si sa reduca riscurile asociate cu uterul bicorn.
Cu toate ca este o procedura chirurgicala majora, progresele in tehnicile chirurgicale si in gestionarea postoperatorie au imbunatatit semnificativ siguranta si recuperarea pacientelor diagnosticate cu uterul bicorn.
Progresele in tehnologiile de imagistica si tratamentele pentru infertilitate au contribuit, de asemenea, la o mai buna gestionare a acestei afectiuni, oferind femeilor afectate optiuni mai bune si mai sigure pentru a obtine si a duce la termen sarcini sanatoase.
Ecografia transvaginala si rezonanta magnetica nucleara (RMN) au revolutionat diagnosticarea uterului bicorn, permitand o vizualizare detaliata a anatomiei uterine fara interventii invazive.
Histeroscopia si laparoscopia au permis atat diagnosticarea precisa, cat si posibilitatea unor interventii chirurgicale minim invazive.
In cazurile de infertilitate asociata cu uterul bicorn, fertilizarea in vitro (FIV) a devenit o optiune importanta. Aceasta tehnica permite fertilizarea ovulelor in afara corpului si implantarea embrionilor in uter, reducand astfel unele dintre problemele asociate cu anatomia uterului.
Uter bicorn, caracteristici si cauze
Uterul bicorn apare din cauza unei anomalii in dezvoltarea embriologica a canalelor mulleriene, care sunt structuri pereche din care se formeaza uterul, trompele uterine, cervixul si partea superioara a vaginului. Daca aceste canale nu fuzioneaza corect, se poate dezvolta un uter bicorn.
-
Forma uterului: uterul bicorn are aspect de inima sau de „Y” inversat, cu o depresiune mai pronuntata la nivelul fundului uterului.
-
Cavitati uterine: exista doua cavitati uterine separate partial, fiecare corespunzand unui „corn” al uterului.
-
Col uterin: de obicei, exista un singur col uterin, dar in cazuri rare pot exista doua coluri uterine.
Uterul bicorn este o malformatie congenitala, ceea ce inseamna ca este prezenta la nastere si se dezvolta in timpul vietii embrionare. Cauzele exacte ale acestei anomalii sunt legate de procesele complexe de dezvoltare a sistemului reproducator in perioada embrionara.
Cauze pentru uterul bicorn
1. Dezvoltarea sistemului mullerian
-
Uterul, trompele uterine, cervixul si partea superioara a vaginului se dezvolta din structuri numite canale mulleriene, in timpul vietii embrionare. In mod normal, aceste canale se unesc pentru a forma un singur uter. In cazul persoanelor cu uterul bicorn, aceasta fuziune este incompleta, ceea ce duce la formarea unui uter cu doua „coarne” separate.
-
Fuziunea incompleta: uterul bicorn apare atunci cand cele doua canale mulleriene nu fuzioneaza complet in timpul dezvoltarii fetale. Aceasta poate duce la formarea a doua cavitati uterine partial separate, fiecare avand propriul „corn”.
2. Factori genetici
-
Predispozitia genetica: anomaliile de dezvoltare ale canalelelor mulleriene pot avea o componenta genetica. Daca exista un istoric familial de malformatii uterine, riscul de a avea uterul bicorn poate fi mai mare.
-
Mutatii genetice: unele mutatii genetice specifice pot influenta dezvoltarea corecta a sistemului reproducator si pot duce la malformatii, inclusiv la uter bicorn.
3. Factori de mediu
-
Expuneri prenatale: expunerea mamei la anumite substante chimice, medicamente sau infectii in perioada sarcinii poate afecta dezvoltarea fatului si poate contribui la aparitia malformatiilor uterine. De exemplu, expunerea la medicamente precum dietilstilbestrol (DES) a fost asociata cu anomalii ale tractului reproductiv la urmasi.
-
Deficiente nutritionale: deficientele nutritionale severe in timpul sarcinii pot influenta dezvoltarea fetala si pot duce la diverse malformatii, inclusiv anomalii ale sistemului mullerian, deci si la probleme precum uterul bicorn.
4. Factori hormonali
-
Dezechilibre hormonale: dezechilibrele hormonale in timpul sarcinii pot afecta dezvoltarea normala a organelor fetale. Un nivel anormal de hormoni poate perturba procesul de fuziune a canalelor mulleriene, ducand la formarea unui uter bicorn.
-
Stadializare embriologica: dezvoltarea uterului trece prin mai multe etape critice, precum formarea, migrarea si fuziunea canalelor mulleriene. Orice perturbare aparuta pe parcursul acestor etape poate duce la malformatii, inclusiv la uterul bicorn.
-
Anomalii asociate: uterul bicorn poate fi asociat si cu alte anomalii ale tractului reproducator, cum ar fi malformatiile vaginale sau ale rinichilor, din cauza dezvoltarii concomitente a acestor structuri din canalele paramezonefrice.
Intelegerea acestor cauze poate ajuta la identificarea factorilor de risc si la dezvoltarea strategiilor de prevenire si tratament pentru femeile care sufera de aceasta afectiune.
Simptome si diagnostic uter bicorn
Multe femei cu uter bicorn nu prezinta simptome, aceasta problema medicala fiind descoperita intamplator la o ecografie de rutina sau in cazul unor complicatii obstetricale. Cand simptomele sunt prezente, acestea pot include:
-
dismenoree (dureri menstruale severe);
-
sangerari menstruale neregulate;
-
infertilitate;
-
complicatii in sarcina, cum ar fi avorturi spontane recurente, nastere prematura, prezentare anormala a fatului sau intarziere de crestere intrauterina.
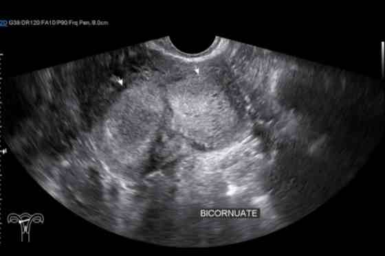
Diagnosticul de uter bicorn se face prin metode imagistice precum:
-
ecografie transvaginala: prima metoda de diagnostic care poate evidentia forma anormala a uterului;
-
histerosalpingografie (HSG): un test cu raze X care implica injectarea unei substante de contrast in cavitatea uterina pentru a vizualiza forma si dimensiunea uterului;
-
rezonanta magnetica nucleara (RMN): ofera imagini detaliate ale uterului si poate confirma prezenta unui uter bicorn;
-
laparoscopie: o procedura chirurgicala minim invaziva care permite vizualizarea directa a uterului si a cavitatilor sale.
Concluzie
Uterul bicorn este o malformatie congenitala relativ rara a uterului, care poate avea implicatii asupra fertilitatii si sarcinii. Diagnosticul precoce si gestionarea adecvata pot ajuta la reducerea riscului de complicatii si la imbunatatirea rezultatelor reproductive pentru femeile afectate. Consultatia cu un medic ginecolog este esentiala pentru o evaluare corecta si pentru alegerea unui plan de tratament adecvat.
Surse:
https://sante.journaldesfemmes.fr/
https://www.parents.fr/envie-de-bebe/infertilite/cause-de-l-infertilite/